器械中国
高端医疗装备研究院
努力做中国最好的高端医疗器械智库
首页
资讯
行业
新品
投融资
专题
医学影像
放射治疗
人工智能
智慧医院
复合手术室
手术机器人
关键零部件
智库
学院
临床之家
医工之家
采管之家
科研之家
视频
产品库
登录
注册
手术机器人
围观!达芬奇单孔机器人秀“剥虾”绝技
02-12
赞(
0
)
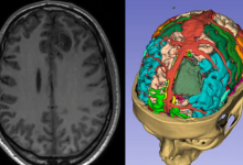
神经外科手术计划:脑肿瘤的三维重建
02-12
赞(
0
)
达芬奇机器人缝合葡萄
02-02
赞(
0
)
机器人主刀,你放心吗?
01-23
赞(
0
)
术中滑轨CT+DSA的多影像一站式诊疗解决方案
10-10
赞(
0
)
更灵活和更易操作:飞利浦复合手术室
10-10
赞(
0
)
神经外科的未来工具—手术机器人
10-07
赞(
0
)
外科手术机器人助力医生为蝴蝶缝合断翅 创造生命奇迹
10-06
赞(
0
)
【产品展示】 达芬奇手术机器人
10-06
赞(
0
)
手术机器人的过去现在和未来_张耀坤(直观复星)
09-19
赞(
1
)
上一页
1
2
共 2 页
视频列表侧边栏
手术机器人的过去现在和未来_张耀坤(直观复星)
2022-09-19
【手术机器人】达芬奇外科手术机器人生产车间探访
2023-09-21
【产品展示】Swoop便携式磁共振(床旁磁共振)
2023-10-05
【专家访谈】当医学遇上ICT!探索动态医学影像的奥秘!
2023-10-07
【高场磁共振】GE SIGNA™ 7.0T MR
2023-09-16
【产品展示】【高场磁共振】西门子 MAGNETOM Terra 7T MRI
2023-09-16
回顶部
切换注册
登录
用户名或邮箱
找回密码
密码
记住我
切换登录
注册
昵称
邮箱